Skip to main content

Transform your smile with custom porcelain veneers — serving Alpharetta, Milton & Roswell.

Perfectly crafted ceramic shells that give you the smile you've always wanted.

Smile Makeover

Expert cosmetic veneers at our Alpharetta dental practice.

Porcelain veneers are thin, custom-made shells that bond to the front of your teeth to create a beautiful, natural-looking smile. At our Alpharetta practice, Dr. Nasim Doroudgar combines artistic precision with advanced digital smile design to correct discoloration, chips, cracks, gaps, and minor alignment issues. With proper care, veneers last 10–15 years or longer — an excellent long-term investment in your smile.

Dr. Nasim Doroudgar reviewing a custom porcelain veneer plan

Why Choose Porcelain Veneers?

Veneers offer a comprehensive solution for multiple cosmetic concerns in one treatment.

Dramatically improve smile appearance
Resistant to staining and discoloration
Conservative treatment (minimal tooth removal)
Natural-looking and long-lasting
Strengthen weakened teeth
Correct minor alignment issues

Are veneers right for you?

Veneers can address many cosmetic concerns and are an excellent choice for patients seeking dramatic smile improvements with conservative treatment.

Teeth that are stained or discolored
Chipped, cracked, or worn teeth
Gaps between teeth
Misshapen or uneven teeth
Minor crowding or spacing issues
Teeth that appear too small or large
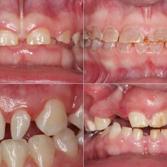
Teeth showing cosmetic concerns suitable for veneers
Before porcelain veneer treatment — stained and discolored teeth
Before veneer treatment — chipped and worn enamel
Smile with gaps — candidate for porcelain veneers in Alpharetta

Types of Dental Veneers

Different veneer materials and techniques to match your needs and budget.

Porcelain Veneers

Custom-made ceramic shells bonded to front of teeth

Advantages:
  • Excellent aesthetics
  • Very durable
  • Natural translucency
Cost:

Premium option

Composite Veneers

Tooth-colored resin applied directly to teeth

Advantages:
  • More affordable
  • Can be done in one visit
  • Reparable
Cost:

Most affordable option

The Veneer Process

A multi-step process that typically takes 2-3 weeks from consultation to final placement.

  1. Consultation & Planning

    1 hour

    Digital smile design and treatment planning.

    Photos, impressions, color selection, and mock-up preview.

    Veneer consultation and smile design planning at Lux Dentistry
  2. Tooth Preparation

    30-60 minutes

    Minimal enamel removal for veneer placement.

    Usually 0.5-1mm of enamel removed for proper fit and aesthetics.

    Minimal tooth preparation for porcelain veneer placement
  3. Impressions & Temporaries

    30 minutes

    Creating molds and placing temporary veneers.

    Digital scanning or traditional impressions, temporary protection applied.

    Dental impressions and temporary veneers fitting
  4. Veneer Fabrication

    1-2 weeks

    Custom veneers created in a dental lab.

    Precision crafting for perfect fit, color, and shape.

    Custom porcelain veneers fabricated for Alpharetta patient
  5. Bonding & Final Placement

    1-2 hours

    Permanent attachment of your custom veneers.

    Try-in, final adjustments, and permanent bonding with dental cement.

    Final porcelain veneer bonding and placement at Lux Dentistry

Caring for Your Veneers

Daily Care

  • Brush twice daily with non-abrasive toothpaste
  • Floss daily with unwaxed floss or floss threaders
  • Use mouthwash without alcohol
  • Avoid staining foods and drinks, or use a straw
  • Wear a night guard if you grind your teeth

Professional Care

  • Visit dentist every 6 months for check-ups
  • Professional cleanings every 6 months
  • Annual polishing to maintain luster
  • Monitor for chips, cracks, or loose bonds
  • Repair or replace as needed (rare)

Smile Transformation Results

See the dramatic difference porcelain veneers can make in just weeks.

Natural teeth with cosmetic concerns
Natural teeth with cosmetic concerns
Perfect smile with porcelain veneers
Perfect smile with porcelain veneers

Ready for your dream smile in Alpharetta?

Schedule a consultation at our Alpharetta practice to see how porcelain veneers can transform your smile. We'll create a personalized treatment plan just for you.