Skip to main content

Straighten your teeth discreetly with clear aligners in Alpharetta, GA.

Clear, removable aligners that give you the smile you want without the look of traditional braces.

Clear Aligners

Clear aligner treatment at our Alpharetta dental practice.

Clear aligners use a series of custom-made, transparent trays to gradually straighten your teeth. At Lux Dentistry in Alpharetta, GA, Dr. Nasim Doroudgar uses advanced 3D imaging to show you exactly how your teeth will move before treatment begins. Unlike traditional braces, clear aligners are virtually invisible, removable for eating and cleaning, and designed for comfort.

Patient holding clear aligners — discreet teeth straightening option

Why Choose Clear Aligners?

Clear aligners offer a comfortable, discreet path to a straighter smile.

Virtually invisible during treatment
Removable for eating and oral hygiene
No metal brackets or wires
Fewer office visits than traditional braces
Comfortable with no sharp edges
Predictable results with digital planning

The Clear Aligner Process

A streamlined treatment from consultation to your final smile.

  1. Initial Consultation

    1 hour

    Comprehensive examination and treatment planning.

    Digital scan, photos, and discussion of goals.

    Clear aligner consultation and digital scan at Lux Dentistry
  2. 3D Treatment Plan

    1–2 weeks

    Custom treatment plan created with ClinCheck® software.

    Virtual simulation of tooth movement throughout treatment.

    3D digital treatment plan showing clear aligner tooth movement
  3. Aligner Delivery

    30 minutes

    Receive your custom aligners and begin treatment.

    Fitting, instructions, and first set of aligners.

    Patient receiving first set of custom clear aligners
  4. Progress Monitoring

    15–30 minutes

    Regular check-ups every 4–6 weeks.

    Monitor progress and provide new aligner sets.

    Progress check appointment for clear aligner treatment
  5. Refinement (if needed)

    Varies

    Fine-tuning for optimal results.

    Additional aligners to perfect the final result.

    Fine-tuning clear aligner results for optimal outcome
  6. Retention

    Ongoing

    Maintain your new smile with retainers.

    Wear retainers to prevent teeth from shifting back.

    Clear aligner retainer to maintain straight teeth after treatment
Proper care and cleaning of clear aligners

Caring for your clear aligners.

Proper care of your aligners ensures effective treatment and maintains oral hygiene. Follow these guidelines for the best results.

  • Wear aligners 20-22 hours per day

  • Remove for eating and drinking (except water)

  • Brush teeth after each meal before reinserting

  • Clean aligners daily with clear antibacterial soap

  • Store aligners in provided case when not wearing

  • Avoid smoking and avoid chewing gum

  • Visit dentist every 4-6 weeks for progress checks

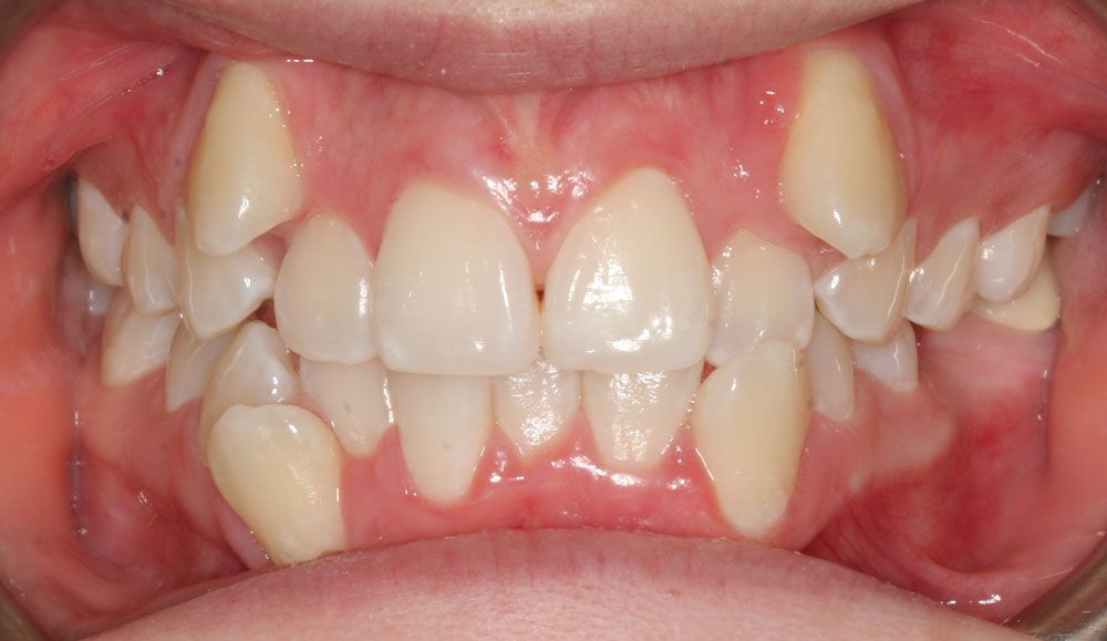
See the Transformation

Clear aligners can correct crowding, spacing, and bite issues for a beautifully aligned smile.

Before treatment
Before
After treatment
After

Clear Aligner Success Rates

Patient Satisfaction

Over 96% of clear aligner patients report high satisfaction with their treatment results and experience.

Treatment Success

Clear aligners effectively treat mild to moderate orthodontic cases with predictable, consistent results.

Daily Wear

Patients who wear aligners 20-22 hours daily see the fastest and most accurate results.

Ready for straighter teeth without braces in Alpharetta?

Schedule a consultation at Lux Dentistry to find out if clear aligners are right for you. We'll build a personalized treatment plan around your smile goals.